오늘 이야기 해 볼 것은 갈비뼈 금간 증상에 대한 것인데요. 단순 흉통이라고 오해하기 쉬울수 있습니다. 이럴때 금간 증상으로 의심할수 있는데 아래에서 자세한 내용 살펴보도록 하겠습니다.
갈비뼈란?
흉추와 복장뼈를 관련해서 가슴 전체를 둘러싸고 있는 가슴우리(흉강)을 형성하는 긴 곡선의 뼈를 말합니다. 갈비뼈는 폐, 심장 등 내부 가슴 장기들을 지켜주며 가슴우리의 팽창과 수축으로 호흡을 도와줍니다. 우리 몸은 총 12쌍의 갈비뼈를 가지고 있답니다.
1~7번 갈비뼈는 복장뼈와 직접 관절로 연결되어 있어 참갈비뼈라고 하며, 8~12번 갈비뼈는 거짓 갈비뼈라고 하는데 거짓 갈비뼈 중 8, 9, 10번 갈비뼈는 또다른 연골을 통해 복장뼈와 연결되어 있으며 나머지 11~12번째 갈비뼈는 뜬갈비뼈로 복장뼈와 연결되어 있지 않습니다.






갈비뼈 금간 증상
갈비뼈 금간 증상 - 기침할 때 통증
갈비뼈에 금이 가면 기침할 때 통증이 생기는 특징도 있답니다. 정상인이라면 기침을 할 때 갈비뼈 통증이 생기지 않는데요. 기침을 할 때마다 갈비뼈에 통증이 발생할 경우 갈비뼈 금이나 골절을 의심해 볼 수 있답니다.
갈비뼈 금간 증상 - 직접적인 갈비뼈부위 통증
금이 간 갈비뼈 부위를 살짝만 만져도 심한 통증이 나타나게됩니다.






갈비뼈 금간 증상 - 통증
갈비뼈에 금이 가면 쿡쿡 찌르는 통증이 계속하여 느껴지는데요. 가만히 있어도 통증이 있다고 하며 움직이면 훨씬 심해집니다. 금이 간 정도에 따라 통증이 다르며 골절의 경우는 통증이 아주 심해집니다.
갈비뼈 금간 증상 - 걷거나 자세이동시 통증
걷거나 자세를 변경하는 것처럼 움직일 때 통증이 느껴지며 갈비뼈가 금이 간 쪽으로 돌아눕는 경우 통증이 심해지기도 합니다.
갈비뼈 금간 증상 - 폐렴
폐렴이 나타나기도 합니다. 보통과 다르게 폐렴은 갈비뼈 골절 증상으로 생길 수 있다는데,. 보통과 다르게 통증이 있어서 기침을 못하다 보면 폐 안에 가래가 차고 열이 나면서 폐렴으로 진행되기 쉽다고 합니다.






갈비뼈 금간 증상 - 허리 통증
허리 통증도 나타나게됩니다. 갈비뼈에서 나타나는 통증은 통상적으로 갈비뼈 부근을 넘어서 허리까지도 통증이 퍼지게 되어요. 옆구리가 뜨끔하는 통증이 발생하기도 합니다.
갈비뼈 금간 증상 - 호흡중의 위화감
숨을 쉴 때 통증이 발생합니다. 보통과 다르게 숨을 들이 마실 때 폐가 팽창해서 갈비뼈의 금이 간 부분을 자극할 수 있어 내쉴 때에 비교해서 통증이 더 크게 느껴집니다.
갈비뼈 금간 증상 - 근육의 통증과 금이 간 경우 차이는 거의 없답니다.
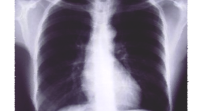
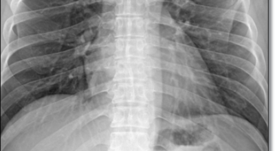
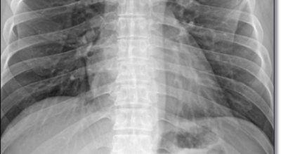
일반인이 근육의 통증과 금이 간 경우의 차이는 거의 판별하기 힘들게 됩니다. 갈비뼈라고 하는 부분이 눈에 보이도록 붓는 것도 아니고, 멍이 들어서 아픈것도 아니기 때문이예요. 가장 정확하게 판별하는 방법은 엑스레이를 찍는 방법이예요.


갈비뼈 금간 증상 - 운전중 통증
운전 시 핸들을 많이 꺾거나 방지 턱을 넘을 때 통증이 느껴져요.
갈비뼈 금간 증상 - 바늘 찌르는 통증
콕콕 찌르는 증상이 있을 수도 있어요. 사람마다 편차가 있답니다.
갈비뼈 금간 증상 치료방법
갈비뼈에 금이 갔을 때의 치료는 단지 안정을 기다릴 수 밖에 없습니다. 사실 고정한 뼈가 더 빨리 재생하지만 고정하면 호흡에 지장이 일어나기 때문에 갈비뼈에는 기부스와 같은 치료방법을 활용하지 않습니다. 통증이 심한 경우 진통제를 복용하고 흉부 고정 서포터를 착용해서 할 수 있는 한 휴식을 취합니다. 상태에 따라 다르지만 대략 1 ~ 3 주 흉부를 고정하면 거의 통증은 없답니다.
골절의 경우는 내부 장기의 훼손이나 골절 부분의 출혈 과 같은 몇가지를 조심해야하지만 금이 간 정도라면 그 부분은 걱정하지 않아도 됩니다. 통증이 오지 않듯이 일을 해도 무방합니다. 단지 무거운 물건을 드는 것은 큰 부담이 되기 때문에 주위 사람에게 도움을 청하세요.
갈비뼈 금이갔을때 좋은 음식
마지막으로 뼈를 잘 붙도록 돕는 식품들을 챙겨줍시다. 우유는 뼈 70% 구성을 이루고 있는 Calcium, 인이 많아 뼈를 건강하게 해 준다고 해요. 가공하여 생성한 요거트나 치즈 과 같은 유제품들도 긍정적인 역할을 합니다. 칼슘의 함유하고 있는 분량이 높고 흡수율도 높습니다. 두부도 괜찮은데 안에 철분, 아미노산이 많은 양 포함되어 있어요. 뼈가 탄탄해지도록 도와주는 이소플라본이 들어 있으며 조골세포 활성화를 재촉해줘요.
멸치는 칼슘이 많을 뿐 아니라 단백질도 많습니다. 잘 챙겨주면 흡수를 높여줄 수 있다고 하며 단백질 합성을 돕고 Vitamin D도 있어 육체에 이롭습니다. 미역은 가지가지 미네랄이 많이 들었고 당질, 지질도 많아요. 요오드와 철분이 있어 빈혈에도 좋다고 알려져 있습니다. 이뿐 아니라 비타민K가 많은 시금치와 낫또, 비타민D가 많은 꽁치와 연어 과 같은 어류, 표고버섯, 노른자 등이 있기 때문에 잘 챙겨볼게요.
갈비뼈 금간 증상에 대해 전해드렸습니다. 잘 참고하셔서 생활 속에서 도움 받으시기를 소망합니다. 즐거운 하루 되세요.
손목 터널 증후군 지금빨리 치료하세요
저도 오랜 세월 컴퓨터를 많이 다루는 직업을 갖고 있다보니 몇년전부터 손목이 쑤시고 시린 현상이 발생하고 있어서 항상 주의하고 있다고 해요. 손을 많이 사용하는 직업을 가진 사람에게 발
gogo0.goodsalm.com
멸치볶음 맛있게 만드는법 도시락 반찬
오늘 이야기 해 볼 것은 멸치볶음 맛있게 만드는법에 대한 것인데요, 요즘 멸치볶음 맛있게 만드는법에 대한 인기가 높습니다. 아래에서 자세한 내용 살펴보도록 하겠습니다. 멸치볶음 맛있게
gogo0.goodsalm.com
무화과 먹는 방법 꼭 드셔보세요
이번 글에서는 무화과 먹는 방법에 대해 알아보려고 하는데요 핵심만 골라서 알기 쉽게 정리해봤으니 자세히 읽어보시고 참고하시기 바랍니다. 여왕의 과일 무화과 무화과는 소아시아 원산의
gogo0.goodsalm.com
댓글