오늘 살펴 볼 것은 요로결석 증상에 대한 내용인데요 요로결석은 통증 수준으로 보면 굉장한 통증을 동반한다고 합니다. 잘 알아두시면 도움 될 내용들이 많으니 자세히 살펴보시고 꼭 도움 받으셨으면 좋겠습니다.
요로결석이란
수분 섭취 감소는 요로결석의 가장 주요한 발병 이유가 되는 것 이라고 하네요. 수분의 섭취가 떨어지면 요석결정이 소변에 머무르는 시간이 길어져 요석형성이 증가하게 되며 요로결석의 발생은 유전적인 소인이 있다는 것이 정설이나 후천적인 생활습관도 연관성을 보입니다.
남성이 여성에 비교해 2-3배 발생 위험성이 높고, 20~40대의 젊은 연령층에서 잘 발생하였다고 하나 최근 고령층에서 발생이 증가하고 있고 요로결석은 지리적으로 산이 많은 지역, 사막, 열대 지방에서 많이 생기는데, 이는 음식, 온도, 습도 등이 복합적으로 작용하기 때문이라고 합니다. 온도와 계절은 요로결석 발생에 주요한 요인으로 작용하지만, 여름에는 땀을 많이 흘리면서 소변이 농축되어 요로결석의 생성이 용이해진다고 합니다.






요로결석 증상
요로결석 증상 - 혈뇨
소변을 보았을 때 소변이 빨갛게 보이기도 하고 현미경으로만 보이는 경우가 있습니다. 육안적 혈뇨는 10%정도 이며 현미경적 혈뇨가 90% 정도를 차지하는 만큼 혈뇨가 아니더라도 요로결석일 수 있답니다.
요로결석 증상 - 구역질
심한 경우 요로결석으로 인하여 소화가 잘 안 되어 토악질 증상도 보일 수 있습니다.






요로결석 증상 - 고열
대부분이 열이 나지 않아요. 하지만 세균 감염 시에는 고열이 일어날 수 있답니다.
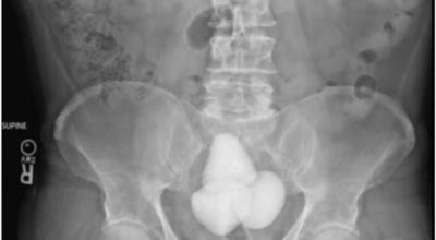
요로결석 증상 - 옆구리 통증
요로결석의 특징적인 증상으로 대개 진통제로도 멈추지 않는 심한 통증이 한쪽 및 양쪽 허리에 나타나며, 질 하복부나 고환 쪽으로 통증이 뻗칠 수 있답니다. 옆구리 통증은 신장 결석이나 방광 결석의 경우에는 잘 나타나지 않을 수 있으나 요관 결석의 경우 요의 흐름이 막히면서 통증이 나타날 수 있습니다. 요로결석의 통증은 맹장염과 비슷한 증상이라서 맹장염으로도 의심받을 수 있습니다.






요로결석 증상 - 신우신염
요석이 존재하면 순수하지 않은 물질로 작용해서 염증을 유발하고 소변 흐름 장애를 초래해서 균의 침범에 의한 저항력이 떨어져서 신우신염을 나타나게 할 수 있습니다.
요로결석 증상 - 소화기 증상
소화가 잘 안 되거나 토악질, 구역질 과 같은 증상이 나타날 수 있답니다. 산통과 함께 복막자극증상인 오심, 구역질, 복부팽만 등이 생길 수 있습니다.
요로결석 증상 - 빈뇨
화장실을 매우 많이 가는 증상을 빈뇨라고 합니다. 소변을 시원하게 보시면 좋겠지만 빈번히 가는 반면에 소변 활동이 원할치 못한 현상이 발생할 수 있습니다. 이러한 빈뇨 역시 요로결석 증상이오니 참고하시기 바랍니다.






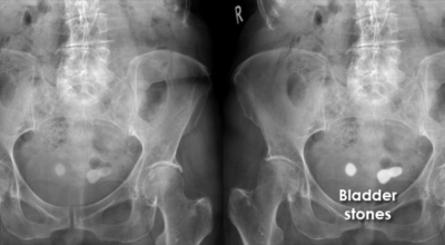
요로결석 증상 - 배뇨 이상 또는 배뇨통
방광 결석, 요도 결석은 소변 볼 때 심한 통증과 소변을 빈번히 보거나 잔뇨감 과 같은 증상이 나타날 수 있답니다. 요도 결석인 경우 심한 통증과 소변을 보지 못해 응급실을 가는 경우도 있습니다.
요로결석 치료방법
요로결석의 치료방법은 당연히 결석을 없애주는 방법이 최우선인데요 체외쇼크파 쇄석술 이라고 하는 시술을 통해 결석을 자연 배출될 수 있도록 하는 방법이 있답니다. 쇼크파 장치에서 고에너지 쇼크파를 쬐어 결석을 파괴하면, 결석 조각이 알아서 배출될 수 있도록 하는 시술입니다.
입원이 필요치 않은 시술이며 시술 후 1시간이면 바로 일상 회복이 가능하다고 합니다. 물론 더 심한 경우는 내시경 결석 제거술등의 수술을 통해 제거해야 하는 경우도 있답니다. 그러므로 요로결석 증상이 발생한 초기에 빠르게 대응하여 간단한 시술로 결석을 없애는 것이 최우선입니다.






요로결석 예방
수산이 많은 식품 섭취 자제
요석의 일반적으로는 수산칼슘석이므로 수산의 섭취를 억제하는 것이 필요합니다. 수산이 많이 들어있는 음식에는 시금치, 초콜렛, 아몬드, 땅콩, 브로콜리, 딸기, 콜라, 코코아, 커피, 술 등이 해당되어요.
충분한 수분 섭취
수분 섭취는 가장 중요시되는 생활 수칙입니다. 하루 소변량이 2L 이상 외게 하는 것이 좋으며, 이를 위해 적어도 하루 10잔 이상의 수분 섭취를 권장합니다. 하루 3회 식사 중 2잔의 물을 마시고, 매 식간 1~2잔의 물을 마시며 수면 전에 물 1 잔을 마시는 것이 좋습니다. 보통과 다르게 운동이나 땀을 많이 흘린 다음에는 추가로 충분한 수분을 복용하는 것이 결석 예방을 위해 필요합니다.
짜게 복용하지 않기
염분을 과다 섭취할 경우 소변으로 배출되는 칼슘이 많아지고 결석의 생산을 막는 구연산이 적어져 요석이 잘 생깁니다. 그러므로 저염 음식을 섭취합니다.






육류 섭취 자제
육류는 소변 내 칼슘, 수산, 요산을 증가시키며 구연산을 감소시키기 때문에 과다 복용하는 것을 자제합니다.
비타민 C 과다 복용 자제
하루 2g 이상의 고용량 비타민 C 섭취는 결석 환자에게 좋지 않습니다. 그렇지만 동일한 용량(500~1000mg)의 비타민 섭취는 문제 되지 않습니다.
구연산 섭취
구연산은 요석이 생기지 않도록 해줌에 따라서 구연산이 풍성하게 포함된 과일(귤, 오렌지, 레몬, 자몽, 매실)과 채소를 충분히 섭취합니다.
오늘은 요로결석 증상에 대해 알려드렸습니다. 항상 건강하세요.
멸치볶음 맛있게 만드는법 도시락 반찬
오늘 이야기 해 볼 것은 멸치볶음 맛있게 만드는법에 대한 것인데요, 요즘 멸치볶음 맛있게 만드는법에 대한 인기가 높습니다. 아래에서 자세한 내용 살펴보도록 하겠습니다. 멸치볶음 맛있게
gogo0.goodsalm.com
댓글