폐렴은 주로 세균이나 바이러스 등 여러가지 원인균이 폐 조직에 감염되어 나타나는 염증성 질환이라고 할 수 있어요. 폐렴의 초기 증상이 감기나 독감과 비슷하므로 주의하셔야 하는 질환 중에 하나이며 한국에서 암 다음으로 3번째 사망률을 보이고 습니다 오늘은 폐렴 증상 폐렴 예방접종에 관하여 알려드려요.
목차






폐렴 원인
폐렴의 원인은 주로 세균이나 바이러스,곰팡이 감염으로 인해 발생하며 그리고 부식성 화학약품이나 먼지 및 가스를 흡입하던가 음식을 삼키는 기능이 떨어져 있는 사람에게 흡인성 폐렴이 발생하기도 합니다. 폐로 음식물이 들어가면 직접 없애기가 어려우며 음식을 삼키는 기능이 떨어져 있다면 언제든지 감염이 반복될 수 있어 주의해야 합니다.
폐렴 초기증상
1. 기침이 멈추지 않는다
2. 발열이 나타난다
3. 가래가 증가한다
4. 호흡하기 어렵다
5. 가슴이 아프다
6. 피곤하다
7. 두통이 있다
8. 설사를 한다
폐렴 증상
1. 폐렴 증상 - 발열과 오한
얼굴에 열감을 느끼고 몸 전체의 온도가 올라가는 증상이 나타날 수 있어요. 발열과 오한의 경우 땔 수 없는 관계인데 폐렴으로 인해 열이 오르면 신체는 온도를 낮추기 위해 땀을 분비하고 신체의 호르몬을 조절하게 되는데요. 발열이 있은 뒤에는 언제나 오한을 경험하게 되는데요 발열과 오한을 경험하는 사람들은 가벼운 몸살로 오인해서 병원을 찾기도 합니다. 치료에도 불구하고 호전되는 기색이 없다면 폐렴 증상이 아닌지 의심하시고 정밀한 검진을 받으시어 정확한 진단을 받는 편이 좋아요.






2. 폐렴 증상 - 기침과 가래
폐렴은 초기 증상으로는 기침과 가래가 있어요. 일반적인 감기도 기침과 가래를 동반하긴 하지만 그보다 더 심한 편이며 기침을 할때 통증이 동반되는 케이스가 대부분이고 묽은색의 끈적거리는 가래가 많이 발생되는 폐렴 증상이 나타납니다.
3. 폐렴 증상 - 호흡 곤란
초기에 가벼운 기침으로 시작해 호흡하는 것조차 힘들어지게 되는데요 폐에 발생한 염증으로 인해서 폐의 신전성이 감소하고, 폐를 구성하는 폐포 세포가 망가져 적정 수준의 산소를 보관하지 못하기 때문에 호흡곤란이 유발될 수 있어요.
4. 폐렴 증상 - 천명음
폐렴으로 인해 기관지 협착이나 점액 증가하면서 기도가 좁아짐으로 인해 기도 저항이 세지면서 리듬성이 높고 휘파람 소리 같은 숨소리가 나옵니다. 천명음 같은 숨소리가 들린다면 폐렴 증상을 의심해 볼 수 있어요.






5. 폐렴 증상 - 가슴 통증
폐렴 증상으로 가슴에 통증이 생긴다고 합니다. 폐렴의 환자들 약 90%이상은 가슴통증을 느낀다고 하지만, 숨을 쉬거나 기침을 하다 보면 가슴통증이 생긴다고 합니다. 이런 가슴 통증 폐렴 증상은 사람마다 다르다고 하는데 누구는 폐를 뾰족한 걸로 찌르는 느낌을 받는 느낌을 받는다고 하고 혹은 누군가가 폐를 잡는듯한 고통을 느낀다고 합니다. 이런 폐렴 증상이 나타나게 되면 검사를 받아보시길 바래요.
폐렴 합병증
- 폐농양 : 보통은 항생제로 치료하지만 때때로 수술이나 긴 바늘이나 튜브로 고름을 빼내기 위해 배액을 해야 합니다.
- 호흡 부전 : 호흡 곤란이 있을 수 있기 때문에 입원하고 일정 기간 동안 인공호흡기를 착용해야 합니다.
- 균혈증 : 이 합병증은 폐의 박테리아가 혈류로 들어갈 때 발생합니다. 12 이것은 감염을 다른 장기로 퍼뜨리고 패혈성 쇼크를 일으켜 사망에 이를 수 있어요.
- 흉막삼출 : 흉막은 숨을 쉴 때마다 폐를 둘러싸고 완충 역할을 하는 막이지요. 폐의 바깥쪽 영역 근처에서 폐렴이 발생하면 이 영역에 염증이 생기고 체액이나 고름이 차게 될 수 있어요. 이러한 일이 발생하면 체액이나 고름을 배출시켜야 할 수 있어요. 이것은 무섭게 들리지만 흉막강에 가는 바늘을 삽입해서 체액을 빼내는 아주 쉬운 절차이지요. 큰 농흉이 있는 경우 감염이 제거되는 동안 흉관을 삽입해야 할 수 있어요.
폐렴과 독감과 감기의 차이
기침, 발열, 오한등으로 초기증상은 모두 비슷하지만 차이점이 있으므로 이 점을 잘 체크하셔야 합니다
감기 : 2~3일간 미열 콧물, 코막힘. 인후통
독감 : 갑작스러운 증상 악화 39도 이상의 고열 발생
폐렴 : 누런 가래, 호흡곤란, 흉통 독감보다 증상이 오래 발생
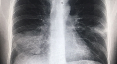
폐렴 증상 치료 방법
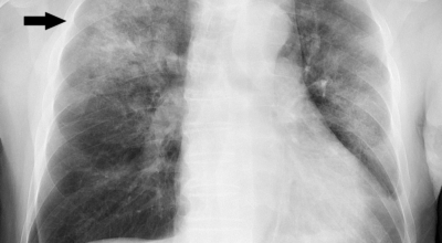
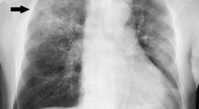
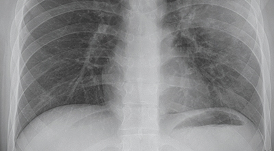
증상을 겪는 경우 배양 검사는 물론 X-ray 촬영 등을 통해 진단을 할 수 있어요. 필요한 경우 소변, 혈액, 혈청 검사, CT 등이 추가적으로 진행돼요.






진단을 받은 환자에게서 입원이 권고되지는 않으나 나이가 어린 경우 혹은 반대로 기저 질환이 있거나 호흡곤란이 심한 상태, 나이가 많은 경우에는 임산부 과 같은 경우, 빠른 치료와 상태의 호전, 위험성에 대한 관리를 위해 입원치료를 진행합니다. 폐렴 치료에 있어 가장 중요한 것은 항생제 치료로 원인균에 해당하는 항생제를 처방하게 되는데 이는 세균, 바이러스 감염에 의한 발생인 경우에 해당하며 초기에는 항바이러스제를 통해 감기처럼 치료를 시도하기도 합니다.
폐렴 치료기간의 경우 2주 전후이며 위중증의 겨우 그 이상이 걸릴 수 있어요. 특히나 반복적으로 해당 질환을 앓는 경우 항생제에 대한 내성으로 인해 병의 경과가 오래 지속되고 치료의 속도가 더뎌질 수 있어요. 특히나 잦은 기침으로 기침이 안 멈추는 폐렴증세가 있음에도 치료시기를 늦추거나 하지 않는 경우 폐혈증으로 인해 정신을 잃고 쓰러지는 등 결과를 초래할 수 있어요.
폐렴 예방접종 종류
폐렴구균 예방접종을 통해 폐렴 증상을 예방할 수 있어요. 연세가 많은 분들의 경우 백내장, 알츠하이머 다음으로 입원 질환 3위에 이를 정도로 위험한 질환이기 때문인데요 꼭 폐렴구균 백신을 맞는것이 좋을 것 같습니다. 폐렴구균 백신은 13가와 23가로 나누어 지는데 23가가 숫자가 커서 좋아보아지만 13가가 폐렴 증상 예방하는데 더 좋은 백신이지요. 그래서 13가 백신은 약 15만원 정도의 비용이 발생하며 국가에서 접종해주는 무료 폐렴 예방접종은 23가이지요.
내가 사는 지역 병원의 폐렴 예방접종 가격을 미리 확인하고 싶다면 아래 비급여 진료비용 검색 사이트에 들어가셔서 지역 선택 후 진료비 항목에 폐렴을 넣고 검색하시면 확인하실 수 있습니다. 기왕이면 비용이 저렴한 곳으로 방문하여 맞는 것이 좋겠죠?
비급여 진료비용 조회하기
▶ 백신종류 : 다당 백신
▶ 접종 가격 : 4 ~ 5만원
▶ 접종 대상
1) 2세 이상 고위험군인 소아청소년과 성인
2) 65세 이상 노인
▶ 백신 종류 : 단백결합 백신
▶ 접종 가격 : 10 ~ 15만원
▶ 접종 대상
1) 19세 미만 소아청소년
2) 생후 2개월~59개월 모든 소아
3) 5세 미만에 접종을 받지 않은 5세 이상의 고위험군
4) 60~71개월의 만성질환 또는 면역저하 상태의 소아
5) 면역저하, 무비증, 뇌척수액 누출, 인공와우 이식 상태에 있는 6~18세 소아청소년
6) 19세 이상 성인
7) 면역저하상태, 무비증, 뇌척수액 누출, 인공와우 이식



폐렴 증상 예방법
1. 손을 30초 이상 씻는 편이 좋아요.
2. 사람이 많이 모이는 곳은 피하는 편이 좋아요.
3. 양치, 가글 등 구강 위생에 신경 써주어야 합니다.
4. 과로나 과음, 흡연은 피해주세요.
5. 규칙적인 운동을 해서 체력을 유지합니다.
6. 충분한 휴식과 수분을 섭취합니다.
7. 실내온도(20~22도.와 습도(40~60%.를 유지합니다.
8. 65세 이상 노인분, 만성질환자는 폐렴 예방접종을 맞는게 좋습니다.
폐렴 증상과 폐렴 예방접종에 관하여 알아봤어요. 방문해 주신 모든 분께 감사드리면서 하루 하루 기쁨이 가득한 날들이 되시기를 기원합니다.
이 블로그 인기글
상추 효능 고기 먹을때 필수인 이유
고기 먹을 때 꼭 필요한 상추가 얼마나 몸에 좋은지 아시나요? 알고 먹는 것과 모르고 먹는 건 정말 다릅니다. 상추는 기원전 4,500년경 고대 이집트 벽화에도 기록되어 있을 만큼 오랜 기원을 갖
gogo0.goodsalm.com
손가락 관절염 치료법 & 예방법
관절염 하면 대부분의 분께서는 무릎 부위를 생각합니다. 하지만 최근 손가락 및 손바닥 전체에 나타나는 관절염에 시달리는 분들이 많이 늘고 있어요. 손가락 관절염 치료법에 대해서 알아보
gogo0.goodsalm.com
댓글